Với nhiều Việt kiều, mỗi lần về Việt Nam thường chỉ kéo dài vài ngày đến một, hai tuần. Ngoài việc thăm gia đình, nhiều người cũng tranh thủ chăm sóc sức khỏe răng miệng, đặc biệt là các dịch vụ thẩm mỹ như dán sứ Veneer.
Vậy Veneer sứ cho Việt kiều có thực sự phù hợp và tiết kiệm thời gian không?
Vì sao Việt kiều quan tâm Veneer sứ khi về Việt Nam?
Thực tế, không ít Việt kiều chia sẻ rằng:
- Muốn cải thiện nụ cười nhanh chóng
- Không có nhiều thời gian điều trị dài ngày
- Ưu tiên giải pháp ít xâm lấn, phục hồi nhanh
- Mong muốn kết quả tự nhiên, bền lâu
Dán sứ Veneer đáp ứng khá tốt những nhu cầu này nên ngày càng được Việt kiều lựa chọn khi về nước.

Veneer sứ cho Việt kiều là gì?
Veneer sứ là lớp sứ mỏng được dán lên mặt ngoài răng, giúp che đi các khuyết điểm nhẹ như:
- Răng xỉn màu
- Răng thưa nhẹ
- Răng mẻ nhỏ
- Hình dáng răng chưa hài hòa
Điểm khiến Veneer phù hợp với Việt kiều là mức độ mài răng rất ít, thời gian thực hiện nhanh, cảm giác nhẹ nhàng.

Veneer sứ giúp tiết kiệm thời gian như thế nào?
So với nhiều phương pháp khác, Veneer sứ:
- Không cần điều trị kéo dài
- Thường hoàn tất trong 3–5 ngày (tùy tình trạng răng)
- Ít phải tái khám nhiều lần
Tại Nha Khoa Toàn Cầu, bác sĩ thường lên lịch trình rõ ràng ngay từ đầu, giúp Việt kiều chủ động sắp xếp thời gian trong chuyến về Việt Nam.
Veneer sứ có bền và an toàn không?

Nếu được thực hiện đúng kỹ thuật:
- Veneer sứ có thể sử dụng nhiều năm
- Màu sắc ổn định, tự nhiên
- Không ảnh hưởng nhiều đến răng thật
Điều quan trọng là phải đánh giá đúng tình trạng răng. Không phải ai cũng phù hợp Veneer, và điều này cần bác sĩ chuyên môn tư vấn trực tiếp.
Việt kiều cần lưu ý gì trước khi dán sứ Veneer?
Một vài lưu ý nhỏ nhưng rất quan trọng:
- Không nên tự quyết định phương pháp chỉ qua hình ảnh
- Nên thăm khám để biết răng có phù hợp Veneer hay không
- Ưu tiên nha khoa có kinh nghiệm với khách hàng Việt kiều
- Hỏi rõ về thời gian, chăm sóc sau khi hoàn tất
Tại Nha Khoa Toàn Cầu, việc tư vấn thường tập trung vào giải pháp phù hợp nhất, không chạy theo xu hướng nếu không cần thiết.
Vì sao nhiều Việt kiều chọn làm Veneer sứ tại Việt Nam?
Ngoài yếu tố chi phí hợp lý hơn, nhiều Việt kiều đánh giá cao:
- Tay nghề bác sĩ ngày càng cao
- Công nghệ nha khoa hiện đại
- Dịch vụ linh hoạt, dễ sắp xếp lịch
Quan trọng hơn, cảm giác được tư vấn kỹ lưỡng và chăm sóc chu đáo giúp họ yên tâm hơn trong quyết định làm răng.
Kết luận
Veneer sứ cho Việt kiều là giải pháp phù hợp nếu bạn muốn:
- Cải thiện nụ cười nhanh
- Tiết kiệm thời gian khi về Việt Nam
- Ưu tiên phương pháp nhẹ nhàng, ít xâm lấn
Tuy nhiên, để đạt kết quả tốt, bạn nên được bác sĩ thăm khám và tư vấn kỹ trước khi thực hiện. Một địa chỉ nha khoa uy tín như Nha Khoa Toàn Cầu sẽ giúp bạn hiểu rõ mình có phù hợp với Veneer hay không, từ đó đưa ra lựa chọn an tâm hơn.
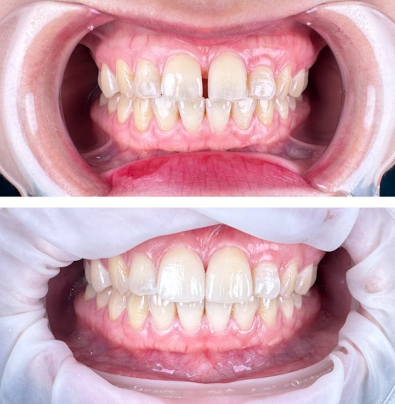
(Hình ảnh khách hàng thực tế tại trung tâm nha khoa thẩm mỹ Toàn Cầu. Kết quả điều trị phụ thuộc vào tình trạng cụ thể của từng khách hàng)



